

インプラント医院選びで、
こんな不安はありませんか?
01
本当にインプラントが必要なのかわからない
02
高額な費用を払って、絶対に失敗や後悔をしたくない。
03
「骨が少ない」「歯周病がある」など、難しい症例だと断られた。
04
目先の治療だけでなく、10年後、20年後の歯の健康まで考えてほしい。
悩んでいるのは、あなただけではありません。
その不安、専門家にご相談ください。
米澤歯科醫院が
その悩みを解決します!
当院が選ばれる
3つの理由
01
大学准教授としての学術的知見
02
口腔全体の未来を守る包括的治療
03
骨造成など専門性の高い技術


理由①:歯科医師を指導する、学術的知見
院長は、長崎大学臨床准教授・北海道大学臨床講師として未来の歯科医師を育成する一方、インプラントのスタディグループ「SAFE」や矯正学習会「GPO」を主宰。さらに歯科医師向け専門メディア「Doctorbook」でも教育コンテンツを発信しており、その技術力と指導力は全国の歯科医師から高く評価されています。

理由②:口腔全体の未来を守る包括的治療
インプラント治療が唯一の答えだとは考えていません。歯周再生療法や矯正治療なども視野に入れ、単に「歯を補う」だけでなく、口腔全体を診断します。歯周病・歯並び・咬み合わせを総合的に評価し、10年後、20年後を見据えた治療計画を立案。あなたの歯の寿命を最大限に引き延ばすことを目指します。

理由③:専門性の高い技術による難症例への対応
「骨が少ない」「歯周病が重度」などの理由で、他院では治療を断られた方もぜひご相談ください。当院では骨造成をはじめとする高度な技術に加え、CTやマイクロスコープ、レーザーなど各種設備を駆使し、幅広い難症例に対応できる体制を整えています。
治療実績のご紹介
骨造成(GBR)症例:骨が不足した難症例
40代女性
治療前

治療後

主訴
入れ歯が嫌
治療法
骨造成:GBR(段階法)
費用
220,000円(税込)
治療期間
骨造成(1年)通院5回 通常のインプラント埋入が可能となります
治療リスク
術後の痛み・感染・脱落・破損・神経麻痺等の可能性
口腔内を安定させるため定期的なメンテナンスが必要
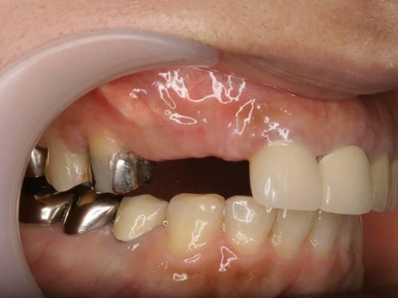
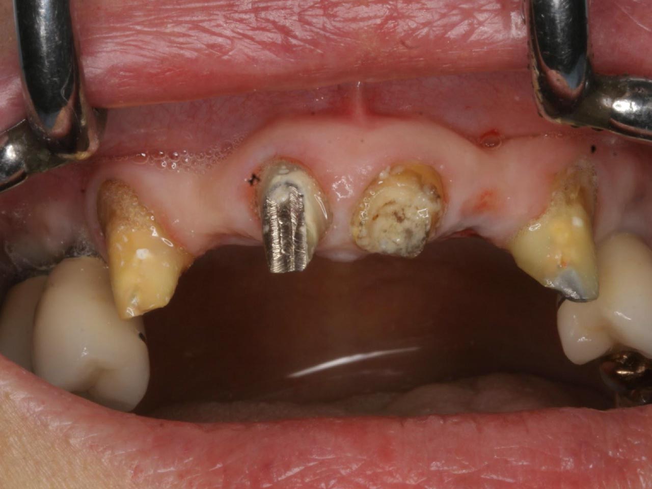
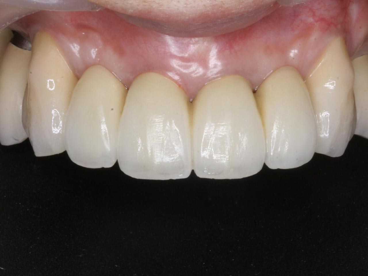
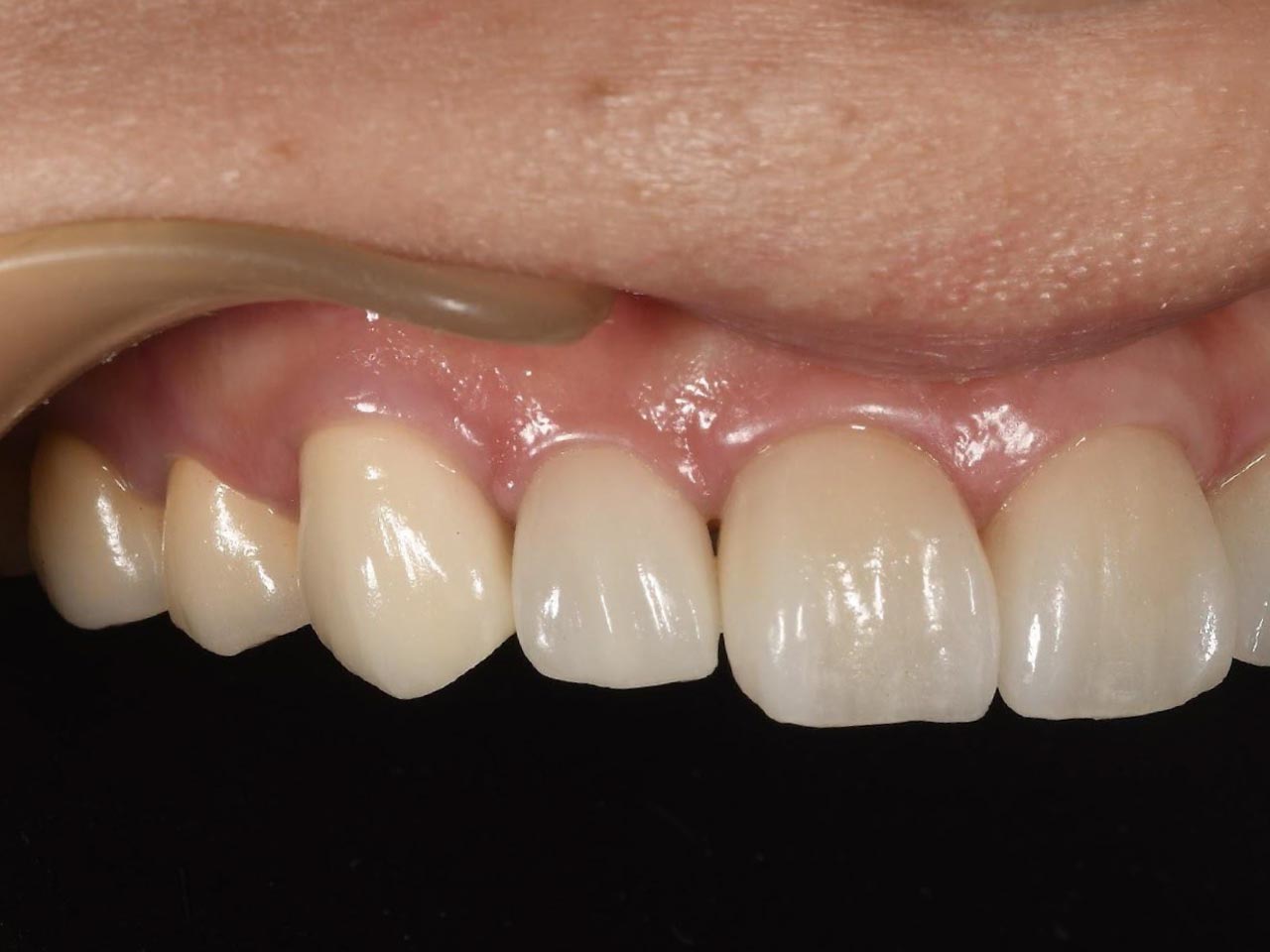
前歯インプラント症例:審美性が求められるケース
40代女性
治療前

治療後

主訴
前歯がぐらぐら、出っ歯
治療法
待時インプラント埋入
費用
1,550,000円(税込)
治療期間
1年(通院20回)
治療リスク
術後の痛み・感染・脱落・破損・神経麻痺等の可能性
口腔内を安定させるため定期的なメンテナンスが必要
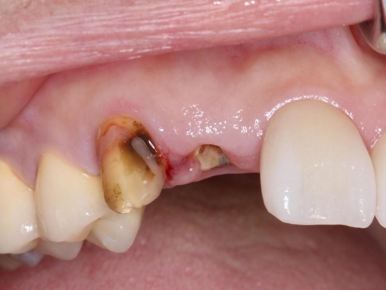
抜歯即時埋入症例:治療の負担を軽減するケース
30代女性
治療前

治療後

主訴
差し歯が取れた
治療法
即時抜歯インプラント埋入
費用
550,000円(税込)
治療期間
1年(通院5回)
治療リスク
術後の痛み・感染・脱落・破損・神経麻痺等の可能性
口腔内を安定させるため定期的なメンテナンスが必要
インプラントフルブリッジ症例:歯がない人がすべての歯を固定式にする
70代男性
治療前

治療後

主訴
歯を入れたい
治療法
全顎的インプラント治療
費用
8,800,000円(税込)
治療期間
約1年
治療リスク
術後の痛み・感染・脱落・破損・神経麻痺等の可能性
口腔内を安定させるため定期的なメンテナンスが必要
相談だけでも構いません
まずは専門家にご相談ください
抜歯即時埋入
抜歯即時埋入インプラント

費用目安:550,000円(税込)~
手術当日にインプラントを埋入できるため、手術回数や治療期間を大幅に短縮できるのが大きなメリットです。ただし、すべての症例に適応できるわけではありません。可能かどうかは、精密な診断によって見極めることが大切です。
このような方へ

治療を早く終えたい

身体負担を減らしたい

通院回数を減らしたい
治療詳細例(1本)
費用目安
550,000円(税込)
治療期間の目安
約3ヶ月(通院5回程度)
プランの特長
手術当日にインプラントを埋入するため、手術回数と治療期間を短縮できるのが大きな利点です。
※全ての症例に適応できません。可能かどうかは、症例の診断が重要となります。
前歯の治療
前歯のインプラント治療

費用目安:1,550,000円(税込)~
周囲の歯と調和した自然な見た目が求められる前歯のインプラントは、特に高度な技術と審美感覚を要します。機能性はもちろん、長期的に美しい口元を維持するための精密な治療計画を立案します。
このような方へ

前歯の印象が気になる

審美性を重視する

技術的困難と言われた
治療詳細例(複数本)
費用目安
1,550,000円(税込)
治療期間の目安
約1年(通院20回程度)
プランの特長
機能回復はもちろん、歯の色や形、歯茎のラインまで含めた、自然で美しい仕上がりを追求します。
骨が少ない方
骨造成を伴うインプラント治療

費用目安:27,500円~(税込)
他院で「骨が少ない」とインプラントを断られた方もご相談ください。サイナスリフトやGBRといった骨を増やす技術(骨造成)を駆使し、インプラント治療を可能にします。 患者様のご負担を考慮した方法をご提案します。
主な骨造成技術

サイナスリフト

GBR(骨誘導再生)

ショートインプラント
治療詳細例(ソケットリフト、サイナスリフト)
費用目安
27,500~77,000円(税込)
治療期間の目安
インプラント埋入前の段階法として、約3から6ヶ月後にインプラント埋入が可能となります。(3回程度)
プランの特長
サイナスリフトという骨造成技術を用い、他院で治療が難しいと診断された方にも対応します。
「あなたの最後の歯科医院」
でありたい
2003年、西宮・甲陽園で開業して以来、私は多くの「歯を大切にしたいのに、うまくいかない」と悩む患者様と向き合ってきました。そのたびに、「もう、ほかの歯科医院を探さなくていいようにしたい」「ここをあなたの最後の歯科医院にしたい」という想いを強めてきました。
そのために必要なのは、場当たり的な治療ではなく、口腔全体と未来を見据えた的確な診断と適切な治療です。インプラント、審美、歯周病、矯正──それぞれの分野で知識と技術を追求し続けているのは、すべて目の前の患者様一人ひとりに最適な治療を届けるため。
あなたの期待に応え、笑顔を守ること。
それが、私の使命です。


よくあるご質問
相談だけでも大丈夫ですか?
もちろんです。治療を強要することは一切ありません。まずはあなたのお悩みをお聞かせください。
セカンドオピニオンも可能ですか?
はい、歓迎いたします。大学准教授としての客観的な視点から、現在の治療計画について意見をお伝えします。
治療期間はどのくらいかかりますか?
標準的なケースで3〜7ヶ月程度です。骨造成などが必要な場合は、それ以上の期間を要します。
手術は痛いですか?
笑気麻酔や、麻酔医による静脈内鎮静を併用することが可能です。痛みの感じ方には個人差がございますが、どうぞご安心ください。
駐車場はありますか?
はい、専用駐車場がございます。お車でお気軽にご来院ください。
甲陽園駅から徒歩6分 通いやすい立地とアクセス
医院名
米澤歯科醫院
住所
〒662-0013 兵庫県西宮市新甲陽町3-12
アクセス
阪急甲陽線「甲陽園駅」より徒歩6分
電話番号
0798-76-1900
駐車場
専用駐車場を完備しております
※水曜日・土曜日の営業時間は17:00までとなります。
納得のいく選択のために
まずは相談してみませんか?


